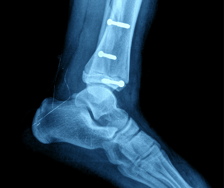
Surgical Screws: Supporting Healing and Ensuring Stability
When people hear about the use of surgical screws, their first reactions tend to stem from what they’ve seen in horror movies, not what they’ve read in medical journals. Yet despite some unfortunate negativity centered on their use in surgical procedures, screws have a very important and therapeutic role in foot and ankle surgery, helping to mend serious injuries and restore full function when other methods might not be able to do so.
Northern Ankle Foot Associates is here to explain how helpful surgical screws can be, with additional information concerning when they’re recommended, what they do to help, and how someone with screws in place can adjust their activities to accommodate their presence.
Why Are Surgical Screws Used in the First Place?
There are quite a few ways that surgical screws factor into podiatric care. While the list below is by no means exhaustive, it does account for many of the use cases that screws have in podiatry.
- Stabilizing Fractures: During surgery to correct foot fractures, screws are meticulously inserted into broken bones to hold them firmly in place.
- This stability is key for proper healing, preventing displacement of the fragments throughout the process.
- Screws act as an internal support system, promoting optimal recovery for damaged bones.
- Aligning Bones: Fractures or trauma can cause misalignment, so surgeons will sometimes strategically place screws to ensure proper bone positioning.
- These anchors play a crucial role in maintaining alignment during healing, ensuring bones mend in the ideal anatomical position.
- This facilitates efficient healing and reduces the risk of long-term issues.
- Securing Implants: Screws play a vital role in securing implants like plates, rods, and artificial joints to bones in foot surgery.
- They create a stable connection between the implant and the bone, thanks to their structural rigidity.
- This helps prevent implant movement and promotes optimal recovery.
- Distributing Stress: Screws strategically placed can help distribute stress and weight-bearing forces across bones in the foot.
- This ensures even weight distribution, minimizing undue stress on specific areas.
- Balanced stress distribution is critical for preventing localized bone deterioration and lowering the risk of future problems.
- Promoting Bone Healing: By providing rigidity and support to fractured bones, screws accelerate healing in the foot.
- They achieve this by firmly holding bone fragments in place, enabling ideal alignment, and minimizing movement.
- This stability creates a favorable environment for the body’s natural healing processes, resulting in a faster, more complete recovery featuring restored bone strength and function.
Beyond Stabilization: Additional Benefits of Screws
While the aforementioned uses are crucial to many podiatric procedures, they also have additional applications. Beyond their role in securing stability, it’s important to consider that…
Screws are sometimes used for more temporary fixation while bones heal.
- They provide immediate stability, preventing further damage and facilitating proper alignment during the early stages of treatment. This sets the stage for a successful overall treatment plan, which may involve removing the screws later when healing progresses.
Screws feature prominently in minimally invasive foot surgeries such as Lapiplasty Bunion Correction and MIS Bunionectomy procedures, allowing for smaller incisions and less-intrusive techniques.
- This translates to less surgical discomfort, tissue damage, and faster recovery times. As we said previously, screws contribute to successful outcomes in these procedures by stabilizing fractures or anchoring implants securely.
By promoting stability and reducing the possibility of complications, screws contribute to a faster healing process.
- This allows patients to begin their recovery programs earlier, ultimately resulting in shorter healing times and a quicker return to normal function.
Common Fractures Surgical Screws Treat
Since fractures can spiral toward serious complications without proper care, it’s prudent to consider a few of the kinds that screws can help with the most, including:
- Lisfranc Fracture-Dislocation: This midfoot injury requires screws to realign and stabilize the damaged area, restoring proper anatomical alignment for optimal foot function.
- Jones Fracture: Located at the base of the fifth metatarsal, Jones fractures are susceptible to poor blood flow, hindering healing. Screws stabilize the fracture, promoting proper alignment and aiding blood flow for better healing.
- Calcaneus Fracture: This complex break in the heel bone requires restoring its shape and alignment for proper foot function. Screws play a crucial role by binding bone fragments together, ensuring proper alignment, and facilitating effective healing.
- Navicular Fracture: The complex blood supply to the navicular bone makes fractures challenging to treat. Screws offer support by stabilizing the bone, aligning fragments, and promoting blood flow, all contributing to optimal healing.
- Metatarsal Fractures: Misplaced or unstable fractures in any of the five metatarsal bones can be fixed with surgical screws to ensure proper alignment and promote healthy healing and foot function.
Don’t let pop-culture representations or B-horror movies affect your opinion of these valuable clinical tools. While their appearance and use might understandably cause concern for those unfamiliar with them, it’s important to focus on the facts: screws play vital roles in foot and ankle surgery, helping to stabilize, secure, and heal people dealing with serious pain.
Stay tuned for future blogs concerning how you can deal with surgical screws on the go, at the airport, and more.
If you’re in need of podiatric care or assistance, please reach out to Northern Ankle Foot Associates and contact us today. Dr. Robyn Joseph would be happy to help.

